3 年
手机商铺
公司新闻/正文
625 人阅读发布时间:2025-06-12 09:57
免疫组织化学(Immunohistochemistry,IHC),即免疫组化,是利用免疫学中抗原抗体特异性结合的原理,通过化学反应使标记抗体的显色剂(荧光素、酶、金属离子、同位素)显色来确定组织细胞内抗原(如多肽和蛋白质),对其进行定位、定性及定量的研究。由于免疫荧光技术特异性强、灵敏度高、快速简便,所以在临床病理诊断、检验中应用较广。
IHC实验流程:通常包括组织样本固定、石蜡包埋、切片、切片脱蜡水化、抗原修复、灭活、封闭、一抗孵育、二抗孵育、染色显色、复染、脱水、封片、观察步骤。

图1. IHC原理图
1. 组织样本获取与固定
从动物或人体获取目标组织样本,尽快(通常在离体后30min内)放入10-20倍组织体积的固定液(常用10%中性缓冲福尔马林、甲醇、乙醇或它们的混合液)中,保证组织能够充分浸入固定液中。固定时间根据组织大小和类型等而定,通常为18-24h。
原理:
保存结构:固定剂(如甲醛)通过交联蛋白质,迅速终止细胞内酶活性,防止组织自溶和腐败,尽可能地保存组织细胞的形态结构和抗原性。
稳定抗原:固定使抗原分子稳定在组织原位,防止在后续处理过程中扩散或流失。
硬化组织:使组织变硬,便于后续的切片操作。
2. 脱水、透明与浸蜡
脱水:将固定好的组织样本依次通过梯度乙醇充分脱水(70%, 80%, 95%, 无水乙醇1,无水乙醇2,分别浸泡1min)→透明剂:如Xylenes,置换乙醇使组织透明→浸蜡:透明后的组织样本放入融化的石蜡。每一步都需要足够的时间让试剂充分渗透组织。
原理:
脱水:去除组织中的水分,因为水与石蜡不相容。乙醇是常用的脱水剂。
透明:用透明剂(Xylenes等)置换出乙醇。透明剂既能与乙醇混溶,又能溶解石蜡,作为中间媒介。
浸蜡:熔融的石蜡渗透入组织,取代透明剂。石蜡冷却后固化,为组织提供支撑,便于切成薄片。
3. 包埋与切片
将浸透石蜡的组织块放入包埋模具,加入融化的石蜡,冷却凝固成蜡块。用切片机将蜡块切成4-5μm厚的连续切片。将切片漂浮在温水浴(40-45℃)中展平,然后小心地捞取到载玻片(通常使用防脱载玻片如多聚赖氨酸或APES处理的玻片)上,在60℃烘箱中烤片2h。
原理:
包埋:形成规则、坚固的蜡块,便于固定和切片。
切片:获得薄到足以透光并能在显微镜下观察的组织层。
烤片:使切片中的石蜡轻微融化,更好地粘附在载玻片上,防止后续处理中切片脱落。
4. 脱蜡水化
将载玻片依次放入:Xylenes I→Xylenes II(或替代品)→无水乙醇→无水乙醇→95%乙醇→80%乙醇→70%乙醇→去离子水。每一步浸泡足够时间(通常5-10min),以确保石蜡被完全去除,残留石蜡会影响后续的抗原检测和染色。整个过程避免干燥,干燥会导致非特异性抗体结合,从而出现高背景染色。
原理:
脱蜡:用Xylenes溶解并去除包埋组织的石蜡。
水化:用梯度下降的乙醇逐步置换掉Xylenes,并最终用水置换掉乙醇,使组织恢复到水合状态,便于后续的水性试剂(如缓冲液、抗体)渗透和反应。
5. 抗原修复
常用抗原修复方法有高压热修复、微波热修复、水域热修复、胰酶修复。通常使用1×柠檬酸钠(pH6.0)作为修复液,高压修复时将切片置于高压锅中,加入抗原修复液,加热至冒气后继续加热5min,关闭电源,冷却至室温,修复完毕(不同抗原适用于不同的抗原修复液及修复条件,需要根据具体实验情况来选择最适的抗原修复方法)。
原理:
由于组织中部分抗原在甲醛或多聚甲醛固定过程中,发生了蛋白之间交联及醛基的封闭作用,从而失去抗原性;通过抗原修复,使得细胞内抗原决定族重新暴露,提高抗原检测率。
6. 灭活
灭活过氧化物酶:HRP酶标记系统,用3%过氧化氢水溶液室温孵育切片10-15min(过氧化氢现用现配,4℃避光保存)。
原理:
某些组织(如红细胞、肝、肾、粒细胞)含有内源性过氧化物酶/碱性磷酸酶或生物素,会导致非特异性背景着色。该步骤旨在灭活或阻断这些内源性物质,降低背景信号,提高实验的特异性和敏感性。
7. 封闭
用含有蛋白质(如5-10%正常血清-通常来自二抗宿主动物,或1-5% BSA)的缓冲液(如TBS或PBS)室温孵育切片10-30min,但也要防止封闭过度。封闭也可用小牛血清、BSA、 羊血清等,但不能与一抗来源一致。
原理:
组织切片上有剩余的位点可以与一抗非特异性结合,造成后续结果的假阳性。封闭液中的蛋白质(血清或BSA)会抢先占据这些非特异性结合位点,阻止后续抗体在此非特异性吸附,从而显著降低背景染色。
8. 一抗孵育
使用抗体稀释液稀释抗体,甩去片子上的封闭液。一抗孵育一般37℃ 1-2h,或4℃过夜。具体条件还要摸索。孵育结束后,用缓冲液(TBS或PBS,通常含0.05-0.1%Tween-20等温和去污剂)充分洗涤切片,通常3次,每次5min。
原理:
去除未与抗原结合或非特异性吸附在组织切片上的一抗,减少背景染色。洗涤缓冲液中的去污剂有助于去除疏松结合的抗体。
9. 二抗孵育
二抗室温孵育30-60min。孵育完成用洗涤缓冲液彻底洗涤3次,每次5min,去除未结合的二抗。
10. DAB显色
滴加新鲜配制的DAB显色液到组织上。在显微镜下密切监控显色反应(通常室温下几秒到十几分钟),待特异性棕色信号清晰可见且背景尚低时,立即将切片浸入去离子水中终止反应。
原理:
酶(HRP或AP)催化其特异性底物发生反应,生成不溶性的有色沉淀物(显色法),沉淀物沉积在抗原-抗体结合的部位,从而在光学显微镜下可视化目标抗原的位置。显色时间是关键,过长会导致背景升高甚至非特异性着色。
11. 复染
将显色后的切片浸入苏木素染液中染色数秒至数分钟(根据染液浓度和室温调整),分化(用酸性乙醇或水去除过量染料),返蓝(自来水冲洗使胞核呈蓝色)。
原理:
苏木素是一种碱性染料,主要使细胞核的染色质(富含DNA,带负电)染成蓝色。复染是为了形成细胞轮廓,有助于定位目标蛋白(如棕色DAB阳性)在细胞内的位置以及观察组织结构。
12. 脱水、透明与封片
脱水:将玻片依次放入装有70%乙醇→80%乙醇→95%乙醇→无水乙醇→无水乙醇→Xylenes→Xylenes(或替代品)。每一步短暂浸泡(通常1-3min)。从Xylenes中取出切片,在组织区域滴加适量中性树胶(如DPX)或水性封片剂(如用于荧光或某些水溶性显色产物的封片剂),小心盖上盖玻片,避免气泡。
原理:
脱水与透明:去除切片中的水分,并用透明剂置换乙醇,使组织透明,便于光线透过。
封片:封片剂使切片与空气隔绝,防止褪色和物理损伤;具有与玻璃相近的折射率,提高显微镜下的清晰度;固定盖玻片。
13. 显微镜观察与结果分析
待封片剂干燥固化后,在光学显微镜(明场用于显色法,荧光显微镜用于荧光法)下观察切片。根据阳性信号的分布(细胞定位:核/浆/膜)、强度(弱/中/强)、范围和模式(弥漫/灶状/点状等)进行判读和分析。注意与阴性对照、阳性对照进行比较。

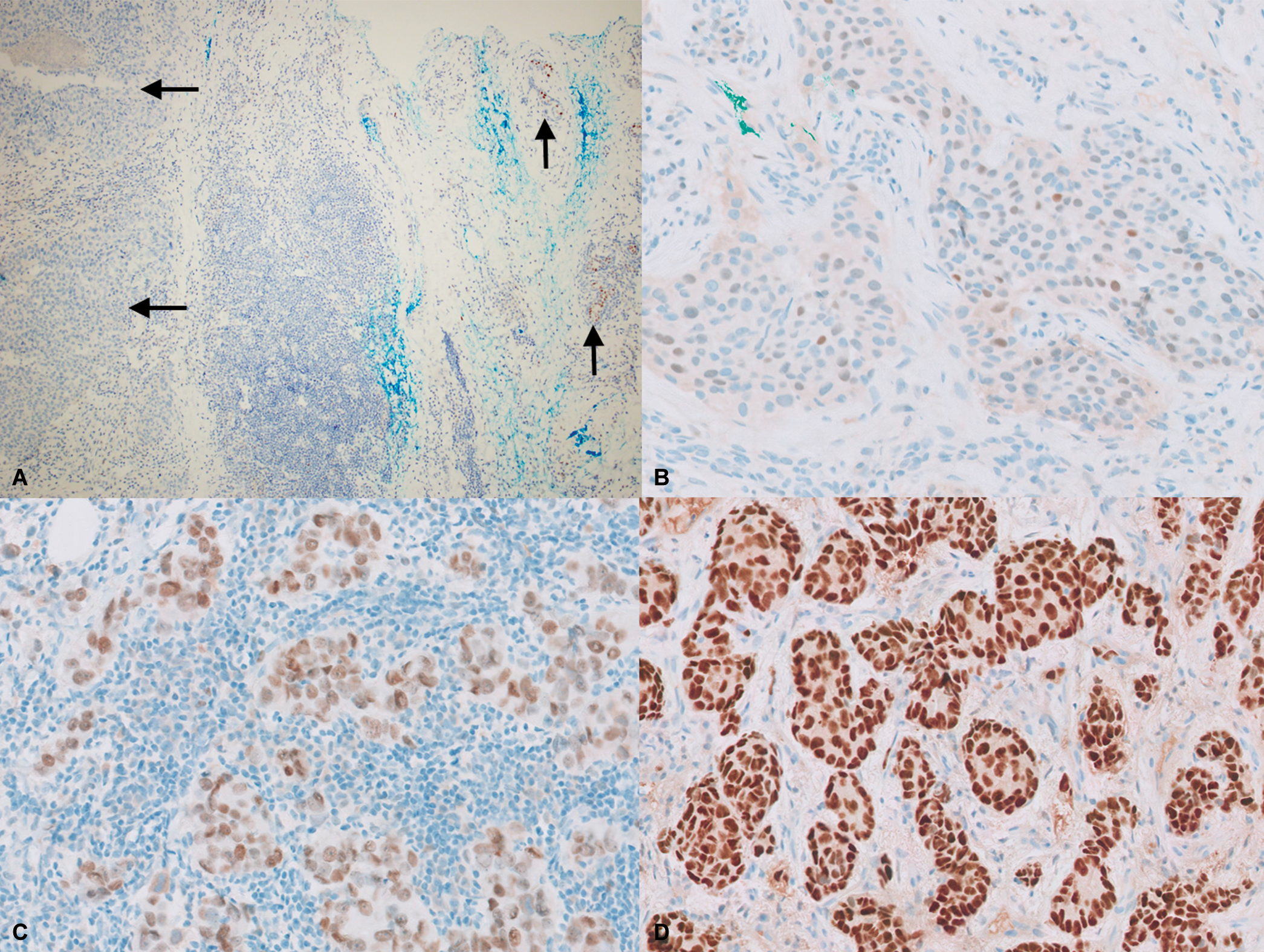
图2. 浸润性乳腺癌中雌激素受体的免疫组织化学
Immunohistochemistry for estrogen receptor in invasive breast carcinoma
(Arch Pathol Lab Med. 2022 Nov 1;146(11):1303-1307)

1. 抗体交叉反应:抗体可能与样本中的多个抗原或非特异性结构结合,导致非特异性染色。选择高特异性的抗体,进行预吸收或使用竞争抑制实验可以减少这一问题。
2. 抗体浓度过高:过量的抗体增加了非特异性结合的机会。优化抗体浓度至最佳范围,通常需要通过预实验来确定。
3. 样本处理不当:过度固定、脱水或样本处理过程中使用的溶剂可能暴露出额外的结合位点,促进非特异性结合。优化样本处理步骤,使用温和的固定剂,并避免过度处理。
4. 洗涤不充分:不充分的洗涤步骤无法有效去除未结合的抗体或标记物,导致非特异性染色。增加洗涤次数或延长洗涤时间可以改善这一问题。
5. 检测系统敏感度过高:过于敏感的检测系统可能会放大非特异性信号。调整检测系统或信号放大步骤的敏感度,以减少非特异性染色。
6. 内源性酶活性:在使用酶标记抗体的检测系统中,内源性酶(如过氧化物酶)的活性可能引起非特异性染色。使用内源性酶抑制剂或进行酶失活步骤可以减少这一影响。
7. 样本背景复杂:高背景样本可能含有多种潜在的结合位点,增加非特异性染色的可能性。使用封闭步骤(如血清或蛋白封闭液)可以减少背景染色。
二、 假阳性?

1. 一抗浓度及一抗是否失效,抗体有一个合适的浓度范围且必须在有效期内使用,过期的抗体或者不着色,或者背景着色,形成假阳性;
2. 试剂未充分覆盖组织,组织边缘的试剂易干浓度较组织中间高致深染;
3. 抗体孵育时间过长,由于室温的影响夏季孵育时间稍短,冬季孵育时间稍长;
4. 操作过程中组织变干,造成组织边缘收缩或损坏形成伪影,产生假阳性;
5. DAB显色时间太长,DAB宜现配现用,配制时间最好在30min以内;
6. 由于胞浆里含有较多的蛋白质,因此间质和胞浆中出现很多非特异性的染色,如内源性酶血红蛋白、肌红蛋白等造成的着色,可以通过血清封闭解决;
7. 乳腺癌组织中的脂肪细胞、淋巴细胞也会产生非特异性的染色;
8. 非特异性抗体吸附常见于坏死组织中,使坏死组织呈较高的背景染色,在免疫组化中应避免选择坏死组织较多的蜡块。
9. PBS 冲洗不充分,残留抗体结果增强着色。
三、 染色不均匀?

1. 样本制备不一致:切片厚度不均或样本固定条件的差异,导致染色剂在样本上的分布不均匀。
2. 抗体分布不均:抗体溶液在样本上的覆盖不均匀,或在孵育过程中未能充分渗透到样本的所有区域。
3. 抗原修复不充分:抗原修复条件(如温度、时间)不一致,导致某些区域的抗原表位未充分暴露。
4. 洗涤步骤不彻底:残留的未结合抗体或标记物可能在某些区域积聚,导致染色过深。
5. 显色剂应用不均:显色剂在样本上的分布不均,或显色反应时间的不一致。
6. 样本内部结构差异:样本内部结构的差异(如细胞密度、组织类型)可能导致染色剂在不同区域的反应性不同。
四、 弱阳性?

1. 固定方式不当或固定时温度过高,影响到抗原的数量和质量;
2. 不适当的抗原修复方式,抗原决定簇暴露不足;
3. 抗体的稀释度是否过高或者孵育的温度/时间不足;
4. 孵育抗体前切片上遗留了过多的冲洗液;
5. 孵育时切片未放置水平,导致抗体孵育不均匀。
AntibodySystem开发了一系列IHC/IF/WB专用抗体,以下是部分产品目录:
|
货号 |
产品名称 |
应用 |
|
PHD06801 |
Anti-MMP9 Polyclonal Antibody |
WB, IHC, IF |
|
PHD59401 |
Anti-BDNF Polyclonal Antibody |
WB, IHC, IF |
|
PHC27701 |
Anti-Human CD3E Polyclonal Antibody |
WB, IHC, IF |
|
PHJ05101 |
Anti-VASN Polyclonal Antibody |
WB, IHC, IF |
|
RHB99201 |
Anti-Human Fibrin Antibody (59D8) |
WB, IHC, IF |
|
RHC79002 |
Anti-Human GZMB Antibody (SAA0516) |
WB, IHC, IF |
|
RHC00802 |
Anti-Human EDB/EDB-FN Antibody (SAA1375) |
WB, IHC, IF |
|
RGK23301 |
Anti-H3K4me3 Antibody (304M3-B) |
WB, IHC, IF |
|
RHD12601 |
Anti-Human VEGFA Antibody (SAA0531) |
WB, IHC, IF |
|
RHE72601 |
Anti-Human SULT1E1 Antibody (SAA0758) |
WB, IHC, IF |
|
RME04902 |
Anti-Mouse CD68/Macrosialin Antibody (SAA2218) |
WB, IHC, IF |
|
RMJ59601 |
Anti-Mouse CD229/LY9 Antibody (D08) |
WB, IHC, IF |