3 年
手机商铺
公司新闻/正文
246 人阅读发布时间:2025-05-23 10:02
胆汁淤积性肝损伤(Cholestatic Liver Injury, CLI)由胆汁排泄障碍引发,以胆汁酸肝内过载导致肝细胞毒性、炎症和纤维化为特征,其中核受体(如LXR)信号失调是关键致病环节,但现有调控机制尚未完全明确。神经酰胺(CERs)作为鞘脂信号分子,其代谢异常与肝病密切相关,但其作用呈现双重性——早期研究认为CERs促炎促凋亡,而特定不饱和CERs(如CER(d18:1/18:1))可能具有保护效应。碱性神经酰胺酶3(ACER3)特异性水解不饱和CERs,其在CLI中的表达调控及与LXRβ信号轴的互作机制尚不清晰。 
《Nature communications》上发表了题为“Reprogramming the Tumor Immune Microenvironment with ICAM-1-Targeted Antibody‒Drug Conjugates and B7-H3-CD3 Bispecific Antibodies”的研究论文。该研究旨在揭示碱性神经酰胺酶3(ACER3)及其催化产物不饱和神经酰胺CER(d18:1/18:1)在CLI中的功能,探讨CER(d18:1/18:1)是否通过激活肝X受体β(LXRβ)信号通路调控胆汁酸代谢和脂质稳态,为CLI的治疗提供新靶点。
|
标题 |
Targeting the ceramidase ACER3 attenuates cholestasis in mice by mitigating bile acid overload via unsaturated ceramide-mediated LXRβ signaling transduction |
|
期刊信息 |
Nat Commun. 2025 Mar 2;16(1):2112. |
|
AntibodySystem引用产品清单 |
|
|
货号 |
品名 |
|
YHF08201 |
Recombinant Human NR1H2/LXRb Protein, N-His |
临床与动物模型验证ACER3与CLI的相关性
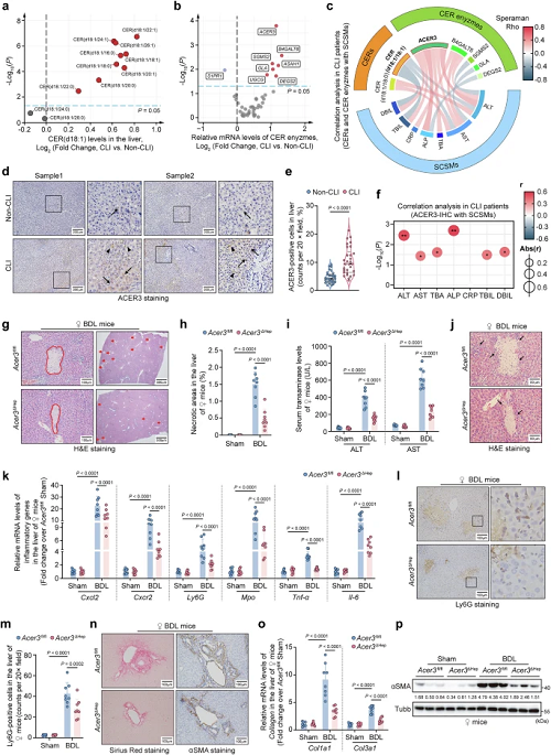
临床样本分析:CLI患者肝组织中ACER3 mRNA和蛋白表达显著上调,且与血清CLI严重程度标志物(如总胆红素TBIL、转氨酶ALT/AST)呈正相关;其底物CER(d18:1/18:1)水平则与标志物呈负相关。

图1. CLI患者中肝脏ACER3表达上调,特异性敲除Acer3可缓解雌性小鼠CLI
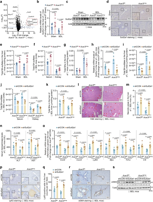
动物模型:在胆管结扎(BDL)诱导的CLI雌性小鼠中,肝特异性Acer3敲除(Acer3ΔHep)显著减少肝坏死灶、降低转氨酶水平,减轻炎症因子(如Cxcl2、Ly6G)和纤维化标志物(如Col1a1、αSMA)的表达。然而,雄性小鼠中未观察到类似保护效应,提示性别差异可能与Sult2a1表达相关。

图2. 敲除Acer3可改善Sult2a1催化的BA硫酸化作用,从而缓解CLI
CER(d18:1/18:1)通过LXRβ信号通路改善胆汁酸代谢
分子机制验证:Acer3缺失或外源性补充CER(d18:1/18:1)可增加肝内CER(d18:1/18:1)水平,激活LXRβ核转位并上调磺基转移酶SULT2A1的表达,促进胆汁酸硫酸化(如CA-sulfate、TCA-sulfate生成增加),减少毒性胆汁酸在肝细胞内的积累。

图5. CER(d18:1/18:1)上调Lxrβ和Sult2a1催化的BA硫酸化以减弱CLI
细胞模型验证:在HepG2细胞中,ACER3敲低或CER(d18:1/18:1)处理可抑制石胆酸(LCA)诱导的细胞凋亡,而敲低LXRβ或SULT2A1则完全逆转该保护效应,证实CER(d18:1/18:1)-LXRβ-SULT2A1通路的核心作用。
在验证CER(d18:1/18:1)与LXRβ直接结合的实验中,作者采用表面等离子体共振(SPR)技术,将不同浓度(0、125、250、500、1000nM)的Recombinant Human NR1H2/LXRb Protein, N-His(购自AntibodySystem,货号:YHF08201)溶解于PBS后注入固定有CER(d18:1/18:1)的芯片。
结果显示,LXRβ与CER(d18:1/18:1)呈剂量依赖性结合,结合亲和力通过SPR信号响应值定量分析确认。此外,免疫共沉淀(Co-IP)实验进一步证实了CER(d18:1/18:1)与LXRβ的物理相互作用,且分子对接模拟表明CER(d18:1/18:1)优先结合LXRβ配体结合域的关键氨基酸残基(图8j-l)。
这些结果直接支持了CER(d18:1/18:1)作为LXRβ内源性配体的功能,并解释了其通过激活LXRβ信号通路调控胆汁酸代谢和脂质稳态的分子机制,为靶向ACER3-CER-LXRβ轴治疗CLI提供了实验依据。

图8. 靶向ACER3通过HepG2细胞中的CER(d18:1/18:1)-LXRβ相互作用上调SULT2A1来减弱CLI
机制创新:首次揭示CER(d18:1/18:1)作为LXRβ内源性激动剂,通过激活SULT2A1增强胆汁酸解毒,同时恢复脂质代谢稳态。
性别差异与临床启示:尽管小鼠模型中存在性别特异性效应,但人类肝组织SULT2A1和CER代谢无性别差异,提示靶向ACER3或补充CER(d18:1/18:1)可能广泛适用于CLI患者。
治疗策略:提出抑制ACER3或外源性补充CER(d18:1/18:1)作为潜在疗法,通过LXRβ信号通路双重调控胆汁酸和脂质代谢。
本研究通过多模型系统解析了ACER3-CER(d18:1/18:1)-LXRβ轴在CLI中的核心作用,结合SPR等先进技术验证了CER(d18:1/18:1)与LXRβ的直接互作,为开发代谢重编程疗法提供了新靶点。未来研究可进一步探索ACER3抑制剂或CER类似物的临床转化潜力。
SPR是一种无标记的实时分子互作检测技术,通过监测生物分子结合引起的共振角度变化,定量分析分子间亲和力和动力学参数。SPR验证分子互作通常需要高活性、高纯度蛋白,高纯度可避免杂质引发的非特异性结合干扰信号真实性,其次高活性则确保蛋白维持天然构象以实现有效结合。
因此,选择优质的蛋白来源至关重要!而AntibodySystem作为专业的蛋白供应商,提供一系列高质量蛋白,其产品经过严格的纯化工艺和活性验证,能够满足SPR等高端检测技术对蛋白纯度和活性的严苛要求,为科研人员在分子互作及各类基础研究中提供可靠的工具!
重组蛋白
|
货号 |
产品名称 |
|
AHJ19801 |
Recombinant Human IL28A/IFNL2 Protein, C-His (Active) |
|
AHA13501 |
Recombinant Human CD277/BTN3A1 Protein, C-hFc-His (Active) |
|
AHC84101 |
Recombinant Human CLU/Clusterin Protein, C-His (Active) |
|
AHD14201 |
Recombinant Human CD227/MUC1 Protein, C-hFc-His (Active) |
|
AHJ55601 |
Recombinant Human CXCL16 Protein, C-His (Active) |
|
AHN42101 |
Recombinant Human TNFRSF19 Protein, C-His (Active) |
|
AHG84901 |
Recombinant Human IL11RA Protein, C-His (Active) |
|
AHJ61001 |
Recombinant Human CD248/TEM1 Protein, C-His (Active) |
|
AHC21101 |
Recombinant Human CKMM Protein, N-His (Active) |
|
AHB95601 |
Recombinant Human IL1B/IL1F2 Protein, C-His (Active) |
|
AHB98501 |
Recombinant Human APOA1 Protein, C-His (Active) |
|
AMD55101 |
Recombinant Mouse MMP8 Protein, C-His (Active) |
|
AMB95801 |
Recombinant Mouse CD25/IL2RA Protein, C-10*His (Active) |
文献奖励

2025年佰乐博生物联合AntibodySystem制定了“文献奖励”,若您2025年已发表引用AntibodySystem产品的文章,可联系佰乐博生物,我们将予以京东卡或代金券奖励。您可以扫描二维码联系产品专员,或拨打佰乐博生物官网电话进行咨询,我们将在7个工作日内与您联系。

扫码添加产品专员微信
咨询电话:027-65279366