3 年
手机商铺
公司新闻/正文
82 人阅读发布时间:2026-01-04 17:47
阿尔茨海默病(Alzheimer’s disease, AD)依然是当前最具挑战性的神经退行性疾病之一。尽管围绕Aβ和Tau的研究持续数十年,但真正能在临床上显著改变疾病进程的治疗策略仍然有限。近年来,神经炎症与免疫调控逐渐被认为是推动疾病进展的关键力量,而如何“精准地”调节脑内免疫细胞,成为新的研究焦点。
近日,发表于Nature Aging题为“Allosteric activation of a cell-type specific GPR120 inhibits amyloid pathology of Alzheimer’s disease”的一项研究,从一个看似并不起眼的切入点出发,黑米中富含的两种不饱和脂肪酸,却意外揭示了一条高度精细的、细胞类型特异性的抗阿尔茨海默病调控通路,为AD干预提供了全新的理论框架。
黑米中的脂肪酸,如何真正改善认知表现?
研究团队注意到,长期流行病学数据提示富含不饱和脂肪酸的饮食与认知衰退风险降低相关,但具体机制始终不清晰。
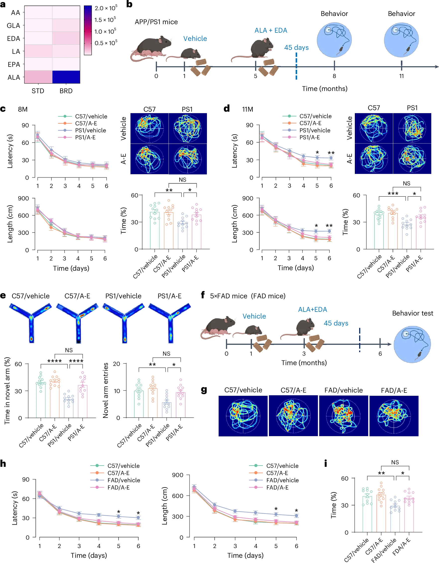
该研究以富含黑米的饮食模型为起点,系统分析了其中的游离脂肪酸组成,结果显示,长期摄入黑米饮食的小鼠在Morris水迷宫、Y迷宫等多项行为学测试中,学习与记忆能力均显著优于对照组。进一步的成分解析显示,最终锁定了黑米中两种富集的游离脂肪酸:α-亚麻酸(ALA)和11,14-二十碳二烯酸(EDA)。

图1. 黑米饮食或ALA+EDA联合给药显著改善AD小鼠在Morris水迷宫中的学习与记忆表现
在多个阿尔茨海默病小鼠模型中,ALA与EDA的联合给药显著改善了学习和记忆能力,并明显减少了脑内β-淀粉样蛋白(Aβ)斑块沉积。值得注意的是,单独使用其中任何一种脂肪酸都难以产生类似效果,提示二者之间并非简单叠加,而是存在协同机制。
GPR120被“精准锁定”的关键证据
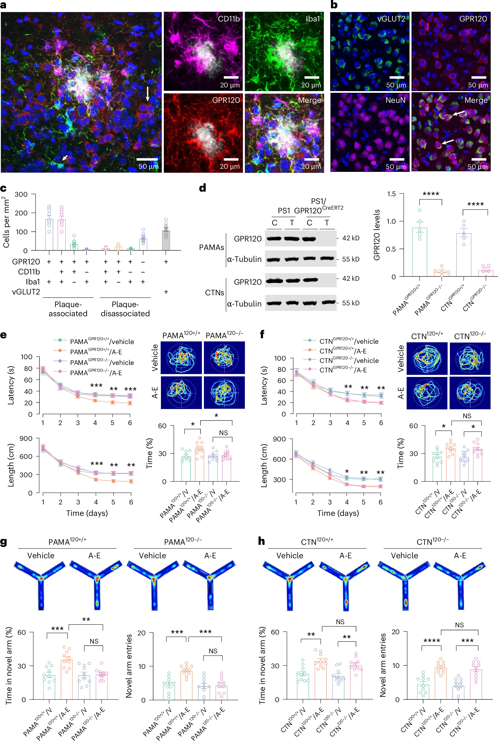
为了回答“脂肪酸到底作用在谁身上”,研究者将目光聚焦于脂肪酸感受型GPCR——GPR120(FFAR4)。免疫荧光和组织定位结果显示,GPR120并非广泛表达于神经元,而是高度集中分布在Aβ斑块周围的激活型小胶质细胞和巨噬细胞中。这类细胞被统称为斑块相关免疫细胞(PAMAs),正是驱动神经炎症和Aβ清除的关键角色。
图2. GPR120在Aβ斑块相关小胶质细胞/巨噬细胞中的特异性高表达
这一发现本身已经非常重要,但真正“定锤”的证据来自遗传学实验。研究者通过条件性敲除模型,明确证实:只有在PAMAs中保留GPR120,ALA+EDA才能发挥抗AD效果;而在神经元中删除GPR120并不会显著影响疗效。这一结果首次从遗传层面证明了GPR120在阿尔茨海默病中的细胞类型特异性功能。
结构层面的答案:为什么必须ALA+EDA联合?
为了进一步解释“1+1>2”的分子基础,研究团队结合冷冻电镜结构解析与分子动力学模拟,系统解析了ALA和EDA与GPR120的结合方式。结果显示,ALA作为正构配体进入经典结合口袋,而EDA则结合于受体的变构位点,显著增强ALA与GPR120的亲和力和信号稳定性。
图3. PAMA细胞中GPR120的缺失完全阻断ALA+EDA的认知保护效应
这种双重结合方式促使GPR120偏向性激活Gαi1–AKT–mTORC1信号通路,而非传统的Gαs或β-arrestin路径,从而显著增强斑块相关免疫细胞对Aβ的吞噬和清除能力。
图4. ALA+EDA协同激活GPR120–Gαi1信号并促进Aβ清除
从Aβ清除到神经炎症调控,AD研究范式正在扩展
这项研究再次强调,阿尔茨海默病并不仅仅是“蛋白沉积病”,而是一种深度嵌入免疫调控、代谢状态与细胞互作网络的系统性疾病。通过调节小胶质细胞的功能状态,而非简单抑制或激活免疫反应,可能才是未来更可持续的治疗方向。
从研究应用角度看,Aβ、Tau、炎症标志物与免疫细胞状态的联合研究,将成为AD机制研究和药物开发中的常态。
靶点研究深化,离不开稳定可靠的研究工具
随着阿尔茨海默病研究从“单一靶点验证”走向“多通路整合分析”,对实验工具的要求也在不断提高。无论是评估Aβ沉积负荷、Tau磷酸化水平,还是监测神经炎症与胶质细胞活化状态,都高度依赖特异性强、重复性高的抗体与蛋白试剂。
围绕当前阿尔茨海默病研究的核心病理轴线,AntibodySystem已系统布局多款热门靶点相关产品,覆盖包括SAA、TAU/Phospho-Tau、AβAPOE等关键方向,广泛适用于WB、IHC、IF、ELISA等多种应用场景,助力科研人员在复杂机制研究中获得更稳定、可信的实验结果。
|
货号 |
产品名称 |
|
MHC65506 |
Anti-Human SAA Monoclonal Antibody (1A318) |
|
MHC65505 |
Anti-Human SAA Monoclonal Antibody (1A319) |
|
MHC65507 |
Anti-Human SAA Monoclonal Antibody (1A320) |
|
RHC82418 |
Anti-Tau Antibody (N334/57) |
|
FHC82412 |
Anti-Human MAPT/Tau/PHF-tau Antibody (IPN-002), PE |
|
PHC82402 |
Anti-Human MAPT/Tau/PHF-tau Polyclonal Antibody |
|
VHB98602 |
InVivoMAb Anti-Human APOE4 Antibody (HJ15.1) |
|
FHJ69210 |
Anti-Human TREM2 Antibody (SAA0548) |
|
FHJ69212 |
Anti-Human TREM2 Antibody (SAA0548), PE |
|
RHC12520 |
Anti-β-Amyloid (1-16aa) Antibody (6E10#) |
|
PHE99201 |
Anti-Human LIMK1 Polyclonal Antibody |
|
RHE99201 |
Anti-LIMK1 Antibody (R1Y77) |
|
RHF19603 |
Anti-BACE1 Antibody (R3N62) |
|
RHF19602 |
Anti-Human BACE1 Nanobody (SAA1336) |