3 年
手机商铺
公司新闻/正文
50 人阅读发布时间:2025-11-21 18:05
干细胞凭借其独特的自我更新能力与多向分化潜能,在再生医学、药物筛选及疾病模型构建等领域展现出广阔前景。该领域的发展往往伴随着培养技术的革新,因为培养体系直接决定了干细胞的稳定性、质量以及未来临床转化的可行性。
传统上,干细胞培养常依赖小鼠来源的饲养层细胞,然而该方法存在操作繁琐、批次间重复性不佳以及潜在异源污染等问题。为克服这些局限,无饲养层(Feeder-Free)培养系统逐渐发展起来,其核心是采用基质蛋白,如层粘连蛋白(Laminin)、玻连蛋白(Vitronectin)和纤连蛋白(Fibronectin)来模拟体内的细胞外微环境。这些蛋白通过整合素介导的细胞黏附,促进干细胞贴壁与增殖,从而为实现更安全、高效且标准化的临床级干细胞培养提供了可能。
层粘连蛋白(Laminin)作为基底膜的重要组成部分,在调控干细胞自我更新、多能性维持及定向分化方面具有关键作用。其中,LN-521 被证实能够有效增强多能干细胞的贴附能力,并借助与整合素α6β1的结合,帮助细胞保持未分化状态。此外,该蛋白还有利于实现单细胞传代,不仅提高了细胞存活率,也促进了后续向特定细胞谱系的分化。
玻连蛋白(Vitronectin)作为一种常见的细胞外糖蛋白,通过与整合素αvβ5和αvβ1结合,支持多能干细胞的黏附和扩增。研究表明,玻连蛋白可替代基质胶(Matrigel),在不影响细胞分化潜能的前提下,实现人多能干细胞的长期稳定扩增。这一特性有助于减少异源组分干扰,提高培养系统的可控性。
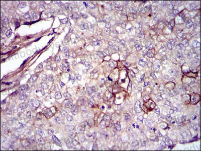
Anti-VTN/Vitronectin Antibody (R2Y43)

Immunohistochemical analysis of paraffin-embedded human liver cancer tissues using VTN mouse mAb with DAB staining.
纤连蛋白(Fibronectin)是一类广泛存在于细胞外基质中的高分子量糖蛋白,作为培养基质时,能够有效增强细胞贴壁效率,并支持干细胞的增殖与自我更新。研究显示,在特定培养条件下,纤连蛋白与层粘连蛋白可协同引导多能干细胞或间充质干细胞向心肌细胞、胰岛细胞等功能细胞分化。此外,该蛋白也被证实有助于提高多能干细胞的存活率并增强其扩增能力。
Anti-FN1/Fibronectin Antibody (R2Y10)

Immunohistochemical analysis of paraffin-embedded human lung cancer tissues using FN1 mouse mAb with DAB staining.
AntibodySystem提供多款经验证活性的重组基质蛋白,以满足您不同的干细胞培养需求!
|
货号 |
产品名称 |
|
YHA46001 |
Recombinant Human LAMA5 Protein, N-His |
|
YHA46001 |
Recombinant Human LAMA5 Protein, N-His |
|
YHC28601 |
Recombinant Human LAMB1 Protein, N-His |
|
YHC05101 |
Recombinant Human VTN Protein, N-His |
|
RHC05102 |
Anti-VTN/Vitronectin Antibody (R2Y43) |
|
EHC05101 |
Recombinant Human VTN/Vitronectin Protein, C-His |
|
RHC00804 |
Anti-FN1/Fibronectin Antibody (R2Y10) |
|
RHC00805 |
Anti-FN1/Fibronectin Antibody (R2Y11) |
详情请咨询Antibodysystem中国授权总代理-武汉佰乐博生物技术有限公司
武汉佰乐博生物技术有限公司作为法国Antibodysystem品牌亚洲区授权总代理。提供近3万种蛋白、抗体等核心生命科学试剂,旨在为生命科学科研工作者提供专业、全面、可靠的试剂产品。
试剂 | 耗材 | 定制 | 实验服务 | 供应链
免费热线:027-65279366 /18108604356