3 年
手机商铺
公司新闻/正文
241 人阅读发布时间:2025-10-14 16:31
胶质瘤是最常见的神经上皮肿瘤,其中胶质母细胞瘤(GBM)恶性程度最高,患者预后极差。近年来,肠道菌群及其代谢产物在肿瘤发生发展中的作用备受关注,尤其是“肠-脑轴”的提出为神经系统疾病及脑肿瘤的治疗提供了新思路。
近日,来自中国第三军医大学的卞修武院士团队在Cancer Cell上发表了题为Ketogenic diet inhibits glioma progression by promoting gut microbiota-derived butyrate production的研究。
该研究系统探讨了生酮饮食(KD)如何通过调控肠道菌群及其代谢产物butyrate,进而影响小胶质细胞表型,最终抑制胶质瘤的进展。
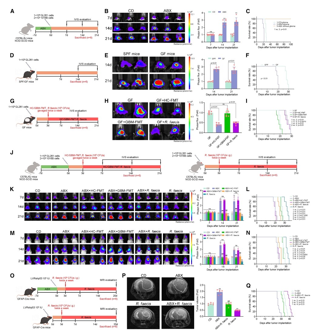
研究团队首先对比了健康人群与胶质瘤患者的肠道菌群结构,发现胶质瘤患者体内产butyrate的细菌丰度显著降低,尤其是Roseburia faecis(R. faecis)的减少与肿瘤分级呈负相关。同时,粪便和血清中butyrate水平也显著下降,并与患者生存期正相关。这些结果表明,R. faecis及其代谢产物butyrate的减少可能是胶质瘤发生发展的重要特征,也为后续机制研究提供了切入点。
通过构建多种胶质瘤小鼠模型,研究团队发现抗生素(ABX)清除肠道菌群或无菌(GF)条件均显著促进肿瘤生长并缩短生存期。而移植健康人粪便菌群(HC-FMT)或单独补充R. faecis则可抑制肿瘤进展。这些结果明确提示,肠道菌群在胶质瘤发展中扮演着关键调控角色,其中R. faecis是核心功能菌株。
进一步代谢组学分析显示,移植胶质瘤患者菌群(GBM-FMT)的小鼠在粪便、血清及肿瘤组织中butyrate水平均显著降低。外源性补充butyrate或混合短链脂肪酸(SCFAs)可有效逆转ABX或GF条件下肿瘤的进展。这一发现不仅确认了butyrate是肠道菌群抑制胶质瘤的功能性代谢物,也为后续治疗策略提供了直接靶点。
单核RNA测序分析显示,GBM-FMT小鼠肿瘤微环境中肿瘤相关巨噬细胞(TAMs),尤其是小胶质细胞来源的TAM-MG,表现出促肿瘤基因表达上调及caspase-3(CASP3)活性下降。进一步实验证实,butyrate可恢复小胶质细胞中CASP3的活化,降低IL-6表达并提升iNOS水平,从而抑制胶质瘤细胞的侵袭与存活。而在特异性敲除小胶质细胞CASP3后,butyrate的抗肿瘤效应被完全取消,说明其作用依赖于CASP3通路。

图1. 肠道菌群影响胶质瘤的发生发展
生酮饮食在多个胶质瘤模型中均显示出显著抑瘤效果,而其作用在ABX或GF条件下被取消,提示其疗效依赖于肠道菌群。进一步分析发现,KD能显著富集Akkermansia muciniphila(A. muciniphila),并提升butyrate水平。补充A. muciniphila或其与R. faecis联用可恢复KD在ABX小鼠中的疗效,说明A. muciniphila是KD调控菌群的核心菌种。

图2. 酮饮食通过重塑肠道菌群抑制胶质瘤进展
机制上,KD可上调肠道黏蛋白MUC2表达,促进A. muciniphila利用黏蛋白产生乙酸,进而支持R. faecis等butyrate生成菌的生长与代谢。在敲低Muc2或去除黏蛋白的条件下,KD的促butyrate生成及抑瘤作用均被削弱。此外,在KD基础上补充可发酵碳水化合物可进一步增强其疗效,提示改良型KD在临床应用中具有潜力。
最终研究发现,KD能显著激活小胶质细胞中CASP3,诱导其向抗肿瘤表型转化。这一效应在清除菌群、敲除小胶质细胞或其CASP3后均被取消,说明KD的抗胶质瘤作用完全依赖于“肠道菌群—butyrate—小胶质细胞—CASP3”这一完整信号轴。

图3. 酮饮食通过激活CASP3,使小胶质细胞呈现抑瘤表型,从而抑制胶质瘤进展
研究局限与临床转化前景
本研究首次系统揭示了KD通过调控肠道菌群代谢产物butyrate,激活小胶质细胞CASP3,进而抑制胶质瘤的机制。尽管目前研究主要基于小鼠模型,且尚未明确其他免疫细胞是否参与,但其结果已为胶质瘤的菌群靶向治疗提供了强有力证据。未来,联合KD与butyrate或特定益生菌可能成为胶质瘤辅助治疗的新策略。
AntibodySystem可提供本研究中涉及的各类抗体,包括用于流式细胞术、免疫组化、ELISA、Western Blot等多种应用场景的抗体产品,覆盖小胶质细胞标记物(如P2RY12、TMEM119)、细胞因子(如IL-6)、凋亡相关蛋白(如CASP3)及肠道黏蛋白(如MUC2)等,助力您在肿瘤免疫与肠道菌群交互作用机制研究中的深入探索。
|
货号 |
产品名称 |
|
FMC34010 |
Anti-Mouse CD45/PTPRC Antibody (SAA0570) |
|
FMC86632 |
Anti-Mouse CD11b/ITGAM Antibody (M1/70), PE |
|
PMK97001 |
Anti-Mouse P2RY12 Polyclonal Antibody |
|
PHG31501 |
Anti-MERTK Polyclonal Antibody |
|
VMC27703 |
InVivoMAb Anti-Mouse CD3 Antibody (17A2) |
|
VMG33801 |
InVivoMAb Anti-Mouse NK1.1 Antibody (PK136) |
|
VMC34001 |
InVivoMAb Anti-Mouse B220 Antibody (RA3.3A1/6.1) |
|
FMK18413 |
Anti-Mouse Ly6g/Ly-6G.1 Antibody (1A8), APC |
|
VMC15801 |
InVivoMAb Anti-Mouse IL-6 Antibody (MP5-20F3) |
|
PHE46101 |
Anti-Ki67/MKI67 Polyclonal Antibody |
|
RHE35909 |
Anti-CASP3/Caspase-3 Antibody (R3K78) |