3 年
手机商铺
公司新闻/正文
5665 人阅读发布时间:2025-08-29 17:28
广州医科大学附属第一医院何建行教授研究团队在“Nature Medicine”(影响因子50)发表题为“Pig-to-human lung xenotransplantation into a brain-dead recipient”重要研究,首次报道了将基因编辑猪肺移植至脑死亡人类受体的案例。
AntibodySystem的3款产品为本研究提供了可靠的数据支撑,是成功揭示移植后体液免疫动态变化的核心工具之一。

AntibodySystem助力前端科研
Anti-Human IgG Antibody (R1C56) (货号RHJ92831)、Anti-Human IgM Antibody (SAA0809) (货号RHJ93203)、Anti-Human C4d Polyclonal Antibody (货号PHC45301)

本研究使用AntibodySystem的3款抗体通过免疫组化实验,检测了异种移植肺中IgG、IgM和C4d的沉积,成功揭示了抗体介导的排斥反应的关键机制。

器官移植作为终末期器官功能衰竭的重要治疗手段,长期以来面临供体严重短缺的全球性困境。每年有大量患者因等不到合适器官而失去生命,这一现实推动了异种移植(xenotransplantation),即跨物种器官移植的研究与发展。近年来,基因编辑技术的进步使得猪成为最有潜力的异种器官来源,其器官大小、生理功能与人类相似,且可通过基因修饰降低免疫排斥风险。然而,与心脏和肾脏相比,肺脏因其复杂的解剖结构、丰富的血管内皮和直接暴露于外界环境的特性,在异种移植中面临更大的免疫和生理挑战。
研究内容
该研究使用了一头经过六基因编辑的猪作为供体,其基因修饰包括敲除三个主要异种抗原基因(GGTA1、B4GALNT2、CMAH),并插入三个人类保护性基因(CD55、CD46、血栓调节蛋白TBM),旨在减少超急性排斥反应和改善移植物存活。受体为一名39岁脑死亡男性,移植后接受了长达216小时的密切监测。

图1. 猪至人肺异种移植手术的实验概要与临床特征概述
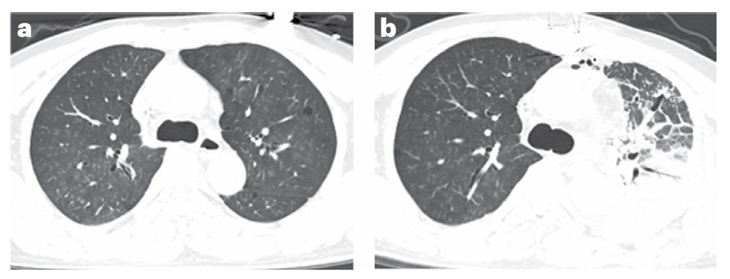
研究结果显示,移植猪肺在观察期内保持了基本功能,未出现超急性排斥反应或严重感染,标志着异种肺移植向临床转化迈出了关键一步。然而,术后24小时的胸部CT显示移植肺背侧区域实变(严重肺水肿),符合原发性移植物功能障碍(PGD)的表现,可能与缺血再灌注损伤有关。

图2. 移植后肺移植物透明度变化评估
此外,术后第3天和第6天观察到抗体介导的排斥反应,表现为IgG沿肺泡间隔沉积,伴随补体C4d激活,但至第9天出现部分恢复,表明免疫抑制方案在一定程度上控制了体液免疫反应。

图3. 肺部病理学表现分析
肺功能方面,显示肺顺应性等通气参数在术后早期下降后逐渐改善,氧合功能在经历早期下降后至后期有所恢复。

图4. 肺功能动态评估
免疫抑制策略包括多药联合方案,如抗胸腺细胞球蛋白、巴利昔单抗、利妥昔单抗、依库珠单抗等,并根据免疫状态动态调整。血清抗体动态变化监测结果(图6)显示,抗供体IgM和IgG水平在术后早期下降后出现二次升高,反映出持续的免疫激活。尽管该方案成功避免了超急性排斥,但仍未能完全抑制早期抗体介导的损伤,提示未来需进一步优化免疫调控,例如引入CD40/CD40L阻断剂或增强补体及细胞因子抑制。

图5. 血清免疫球蛋白与抗供体猪抗体水平随时间变化规律
基因编辑的效果通过免疫组化得到确认,显示CD46、CD55和TBM在移植肺中持续表达,而在野生型猪肺中不表达。

图6. 供体肺转基因表达免疫组化分析
在感染风险方面,通过宏基因组和转录组分析,研究人员未发现猪内源性逆转录病毒(PERV-C)的传播,其他病原体检测也为阴性,表明基因编辑猪在微生物安全性方面具备一定可靠性。然而,肺脏与外界直接相通,其感染风险仍需长期严密监控。
该研究也存在一定局限性。受体保留自身右肺可能影响了免疫反应和功能评估,且缺乏CD40/CD40L阻断机制限制了免疫抑制效果。此外,脑死亡模型虽能模拟临床部分条件,但仍不能完全代表活体移植的复杂生理环境。
综上所述,该研究首次证实了基因编辑猪肺在人体内可维持长达9天的功能存活,为异种肺移植的可行性提供了重要证据。然而,早期肺水肿和抗体介导的排斥反应仍是当前主要挑战。未来需进一步优化基因编辑策略、免疫抑制方案及器官保存技术,推动异种肺移植向临床应用迈进。这一研究不仅为解决器官短缺问题提供了新方向,也为理解人体对异种器官的免疫应答机制提供了宝贵数据。
本研究选择了AntibodySystem产品:
Anti-Human IgG Antibody (R1C56) (货号RHJ92831)、Anti-Human IgM Antibody (SAA0809) (货号RHJ93203)、Anti-Human C4d Polyclonal Antibody (货号PHC45301),充分体现了AntibodySystem产品在前沿、高标准的生物医学研究中的适用性与可靠性,彰显了其作为重要科研合作伙伴,未来AntibodySystem将继续为全球生命科学前沿探索所提供的坚实支持!
|
货号 |
产品名称 |
|
RHJ92831 |
Anti-Human IgG Antibody (R1C56) |
|
RHJ93203 |
Anti-Human IgM Antibody (SAA0809) |
|
PHC45301 |
Anti-Human C4d Polyclonal Antibody |
|
DHC90705 |
Research Grade Rituximab |
|
DHB95802 |
Research Grade Basiliximab |
|
DHB90002 |
Research Grade Eculizumab |
|
DHE03402 |
Research Grade Belatacept |
|
FHC27730 |
Anti-Human CD3E Antibody (OKT3) |
|
PHE04901 |
Anti-Human CD68 Polyclonal Antibody |
|
RHD11902 |
Anti-CD46 Antibody (R3E06) |
|
FHC30912 |
Anti-Human CD55 Antibody (TS55), PE |
|
PHB96411 |
Goat Anti-Human IgG H&L Polyclonal Antibody |